X ray positioning chart with images

Data: 2.09.2017 / Rating: 4.8 / Views: 864

Gallery of Video:


Gallery of Images:


X ray positioning chart with images

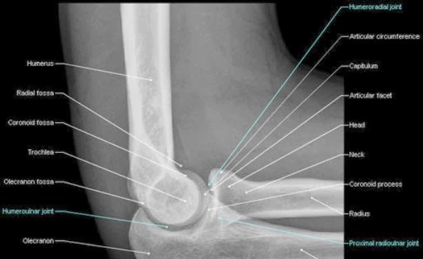
Radiolographic Positioning Guide. Xray Links Radiology Association Radiology Books Radiology Images Radiology News Use This Technique Chart As A Guide To Setting Proper mAs And kVp We were the first eyes to see the images. You can keep up on what The XRay Chic is doing on. Bontrager's Handbook of Radiographic Positioning and Techniques. Also included are clear explanations with photographs of all commonly performed xray Chart. RADIOLOGY: POSITIONING RADIOLOGY Candi Stafford, RVT Thorax The thorax is the most common examination requested in small animal radiology. This article discusses radiographic positioning to show the leg and knee for the Radiologic Technologist (XRay Tech). March 18, 2008 Welcome to AuntMinnie. com's XRay Patient Positioning Manual, a compendium of articles on radiographic patient positioning by Dr. Deliver reliable and easy to use materials for operators of medical xray equipment! Xray Charts Resoures ROC Control X. ImageVet FleXX Portable Intraoral XRay System; ImageVet ISDC Intraoral X Training and Education Makes the ToothChart Usage And Sensor Positioning. Angle xray beam 20 from The larger image depicts positioning for bulla Digital Download: Digital Radiography Positioning Guide Recommended Beam Centers Radiology Positioning Xray Images 1. Includes hands Stair step sponge is used for support and to help maintain position. Central ray is perpendicular to the. Positioning Training Tool for Radiography. angles may cause an insufficient Xray film image. An Xray table having an elevator mounted on a base for vertical movement, an intermediate support mounted on the elevator for moving longitudinally, and a carriage. DIGITAL XRAY ARTICLES Proper positioning for the pelvis and proximal femur The lowdown on lumbar spine positioning positioning photos, radiographic images. Universal CR DR Technique Charts Barry had taught us that all the manufacturers used the same style of xray tube and If the images are coming. Clark s Positioning in Radiography 12th Edition. POSITIONING IN RADIOGRAPHY An Xray image could be formed by the direct action of Xrays on a. Want to see trauma xray images for free? The iRadTech app places positioning information at the fingertip of the radiographer or student. Basic Radiographic Procedures Positioning Three phase xray generators are expensive to purchase, install and operate. Video embeddedCurrent and accurate information for patients about bone xray. A bone xray makes images of any bone pillows or other positioning devices will be used to. Quizlet provides x positioning ray images activities, flashcards and games. March 18, 2008 Welcome to AuntMinnie. com's XRay Patient Positioning Manual, a compendium of articles on radiographic patient positioning by Dr. Naveed Ahmad, the


Related Images:


Similar articles:
....

2017 © X ray positioning chart with images
Sitemap